Dalla riproduzione in laboratorio del glioblastoma, il più aggressivo tumore cerebrale, purtroppo ancora oggi senza efficaci terapie, allo studio di cure personalizzate in grado di colpire selettivamente le cellule staminali tumorali che ne favoriscono la recidiva. È questo in sintesi il risultato dello studio realizzato da una equipe multidisciplinare di ricercatori dell’Università Cattolica - Fondazione Policlinico Universitario A. Gemelli di Roma e dell’Istituto Superiore di Sanità e pubblicato sulla prestigiosa rivista scientifica “Neuro-Oncology”.
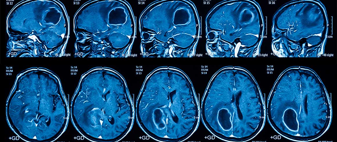
Il glioblastoma è il tumore cerebrale più maligno e, purtroppo, anche più frequente nell’adulto. In Europa e nel Nord America, la sua incidenza è di 2-3 nuovi casi all'anno su 100.000 abitanti. Non esiste alcun trattamento efficace per una cura completa di questo tumore, né è possibile fare programmi di screening per prevenirlo.
Nonostante i progressi dell’oncologia in campo genetico e molecolare, sono stati ottenuti soltanto miglioramenti limitati della sopravvivenza dei pazienti affetti da glioblastoma negli ultimi decenni. Quasi inesorabilmente, il glioblastoma recidiva nel cervello dopo circa 14-15 mesi dall’intervento neurochirurgico e dalla radio-chemioterapia.
La resistenza del glioblastoma alle cure è dovuta verosimilmente alla presenza di cellule staminali tumorali che invece di dare origine a un tessuto sano producono un tumore. Queste cellule, che rappresentano quindi il reservoir tumorale, sono molto resistenti alle radiazioni e ai farmaci chemioterapici e sono anche in grado di migrare al di fuori del tumore per invadere il tessuto cerebrale, lontano dall’area coinvolta dalla rimozione chirurgica.
In questo studio, pubblicato nelle scorse settimane su Neuro-Oncology, i ricercatori degli Istituti di Neurochirurgia, Anatomia Patologica, e Patologia Generale dell’Università Cattolica e del Policlinico A. Gemelli di Roma in collaborazione con il dipartimento di Oncologia e Medicina molecolare dell’Istituto Superiore di Sanità hanno dimostrato che è possibile riprodurre in laboratorio il tumore asportato in sala operatoria attraverso l’impiego delle cellule staminali tumorali.
Queste cellule si moltiplicano in provetta, aggregandosi a formare delle sfere che riproducono in miniatura il tumore del paziente conservandone le caratteristiche genetiche e molecolari. «Già poche settimane dopo l’intervento - afferma il professor Roberto Pallini, neurochirurgo dell’Università Cattolica-Policlinico A. Gemelli - possiamo analizzare in laboratorio le cellule staminali di un determinato paziente e conoscere in anticipo la risposta del tumore alla radio-chemioterapia. Inoltre possiamo testare in laboratorio nuovi farmaci anti-tumorali per giungere a una terapia oncologica personalizzata, cioè adattata in base ai bersagli molecolari trovati nel tumore di ogni singolo paziente».
«Il passo successivo - secondo Lucia Ricci Vitiani, ricercatrice dell’Istituto Superiore di Sanità - sarà l’identificazione delle alterazioni molecolari alla base della resistenza alle terapie di queste cellule e l’individuazione di bersagli terapeutici alternativi per progettare nuove cure più efficaci».
«È molto importante - aggiunge il professor Luigi Maria Larocca, anatomo-patologo dell’Università Cattolica-Policlinico A. Gemelli - che le cellule staminali tumorali, anche dopo diversi passaggi in coltura, conservano le caratteristiche molecolari del tumore del paziente, permettendo in tal modo di provare l’efficacia di nuovi farmaci non appena disponibili».
Le ricerche sulle cellule staminali del glioblastoma, iniziate circa 10 anni fa sotto la spinta del professor Giulio Maira, già ordinario di Neurochirurgia all’Università Cattolica, e proseguite con il professor Alessandro Olivi, direttore della Neurochirurgia dell’Università Cattolica-Policlinico A. Gemelli di Roma, sono stati possibili solo grazie alla forte collaborazione tra la Neurochirurgia del Gemelli e i ricercatori di Anatomia patologica e Patologia generale dell’Università Cattolica e del dipartimento di Oncologia e Medicina molecolare dell’Istituto Superiore di Sanità.



